ºÏÇÑÀÇ ¹ÎÁÖȸ¦ À§ÇØ, Ä«´ÙÇÇ Á¤±ÇÀ» ºØ±«½ÃŲ ¹Ý±ºÃ³·³ ºÏÇÑ ³»¿¡ Àü·«ÀûÀ¸·Î ¹Ý±ºÀ» ¾ç¼ºÇØ¾ß ..
¿¬Æòµµ Æ÷°Ý µµ¹ß 1³âÀÌ µÇ´Â ¿Ã 11¿ù, ÅëÀÏ¿¬±¸¿ø(¿øÀå ±èÅ¿ì) Á÷¿øµéÀÌ ¹é·Éµµ ÇöÁö¸¦ ¹æ¹®ÇØ ..
¡®2011 ÇÑ-Áß°ü°è : ÁøÁ¤ÇÑ Àü·«Àû Çù·Âµ¿¹ÝÀÚ°ü°èÀÇ ¸ð»ö¡¯ ±¹Á¦ÇмúȸÀǰ¡ ¿Ü±³¾Èº¸¿¬±¸¿ø ÁÖ..
¾Èö¼ö ¼¿ï´ëÀ¶ÇÕ°úÇбâ¼ú´ëÇпøÀåÀÇ Â÷±â´ë¼± ÁöÁöÀ²ÀÌ ¹Ú±ÙÇý Àü ´ëÇ¥¸¦ µÎ ÀÚ¸´¼ö ¾Õ¼± °¡¿îµ¥..
¿µ°ü±Þ Àå±³µéÀÇ ÀÛÀü ¼öÇà ´É·ÂÀ» °È¸¦ À§ÇÑ ÇÕµ¿±º»ç´ëÇÐÀÌ Ã¢¼³µÈ´Ù.
±¹¹æ..
[¿ä¾à] ±è¼±µ¿ ¹ÎÁֳ뵿´ç ÀÇ¿øÀÇ ±¹È¸ º»È¸ÀÇÀå ÃÖ·çź Åõô»ç°ÇÀº ÀÇ¿øÀÇ Ç°°Ý¹®Á¦¸¦..
ºÏÇÑÀº ¹«·Â¿¡ ÀÇÇÑ ÅëÀÏ ¼ö´ÜÀ» Æ÷±âÇÏÁö´Â ¾Ê¾ÒÁö¸¸ ¹Ì±¹ÀÌ °³ÀÔÇÒÁöµµ ¸ð¸¦ ÀüÀïÀ» °¨´ç ÇÒ ..
¡°´ç½ÅÀº ÈÞÀü ¶§±îÁö ÇÑ ¹øµµ ÀüÀåÀ» ¶°³ª º» ÀûÀÌ ¾ø´Â ÁøÁ¤ÇÑ ÀüÅõÁöÈÖ°ü À̼̽À´Ï´Ù. ÀÌÁ¦..
ÀÌ·± °¡»óÀ» ÇÏ´Â ³ª¸¦,¡®¸Á»ó¿¡ »ç·ÎÀâÈù ±¸Á¦ºÒ´ÉÀÇ ³ëÀΡ¯À¸·Î ¸ô¾ÆºÙÀÏ ¾ó°£¸ÁµÕÀ̵éÀÌ ³¯·Î ..
ºÏÇÑ¿¡¼ ¸ÔÀ» °ÍÀ» ã¾Æ Áß±¹ ±¹°æÀ» ³Ñ´Â ²ÉÁ¦ºñ, Áï ºÎ¸ð ÀÒÀº 10´ë ¼Ò³âµéÀÌ °¡À»Ã¶ µé¾î ´Ã¾î..
¼Û°æÈ ÇѰܷ¹½Å¹® ±âÀÚ°¡ 28ÀÏ <ºÏ °ü·Ã °ø°¨ ±Û ÆÛ ³ª¸£°í ¿Ã¸° ÁË¡¦ °ø¾È´ç±¹Àº ³ª¸¦ ¡®°£Ã¸..
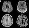
Áúº´°ü¸®º»ºÎ(º»ºÎÀå Àüº´À²)´Â 29ÀÏ¡°Áö³ 1987³â ³ú ¼ö¼úÀ» ÅëÇØ µ¶ÀÏ»ê ³ú°æ¸·À» À̽ĹÞÀº º´·Â..
11¿ù23ÀÏ ºÏÇÑÀÇ ¿¬Æòµµ Æ÷°Ý µµ¹ß 1ÁÖ³âÀ» ¸ÂÀ¸¸é¼µµ ÀüÀ￵¿õµé¿¡ ´ëÇÑ ±¹°¡ÀÇ ¹«¼ºÀÇÇÑ ´ë..